>>Des cas de variole du singe détectés en Europe et Amérique du Nord
>>Singapour confirme le premier cas de variole du singe
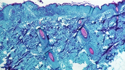
![]() |
| Une section de tissu cutané, récoltée à partir d'une lésion sur la peau d'un singe infecté par le virus. |
"La province de Québec a été informée qu'un résultat positif au dépistage de la variole du singe avait été obtenu pour deux échantillons reçus par le Laboratoire national de microbiologie. Il s'agit des deux premiers cas confirmés au Canada", explique l'Agence de la santé publique du Canada dans un communiqué. D'autres cas suspects sont à l'étude dans la métropole francophone Montréal, ont précisé les autorités canadiennes.
Lors d'une conférence de presse, dans la matinée, la direction régionale de la santé publique de Montréal avaient évoqué 17 cas suspects. Plusieurs dizaines de cas suspects ou confirmés de variole du singe ont été détectés depuis début mai en Europe et en Amérique du Nord, laissant craindre un début de propagation de cette maladie.
Peu fréquente, cette dernière se manifeste généralement par de la fièvre, des douleurs musculaires, des ganglions lymphatiques enflés et des éruptions cutanées sur les mains et le visage, comme une varicelle.
La variole du singe ou "orthopoxvirose simienne" est une maladie rare dont le pathogène peut être transmis de l'animal à l'homme et inversement. Quand le virus gagne l'être humain, c'est principalement à partir de divers animaux sauvages, rongeurs ou primates par exemple.
APS/VNA/CVN

