>> Des mesures face à l'accident de renversement d'une jeep à Lâm Dông
>> Prendre en charge des pêcheurs victimes d'accidents du travail
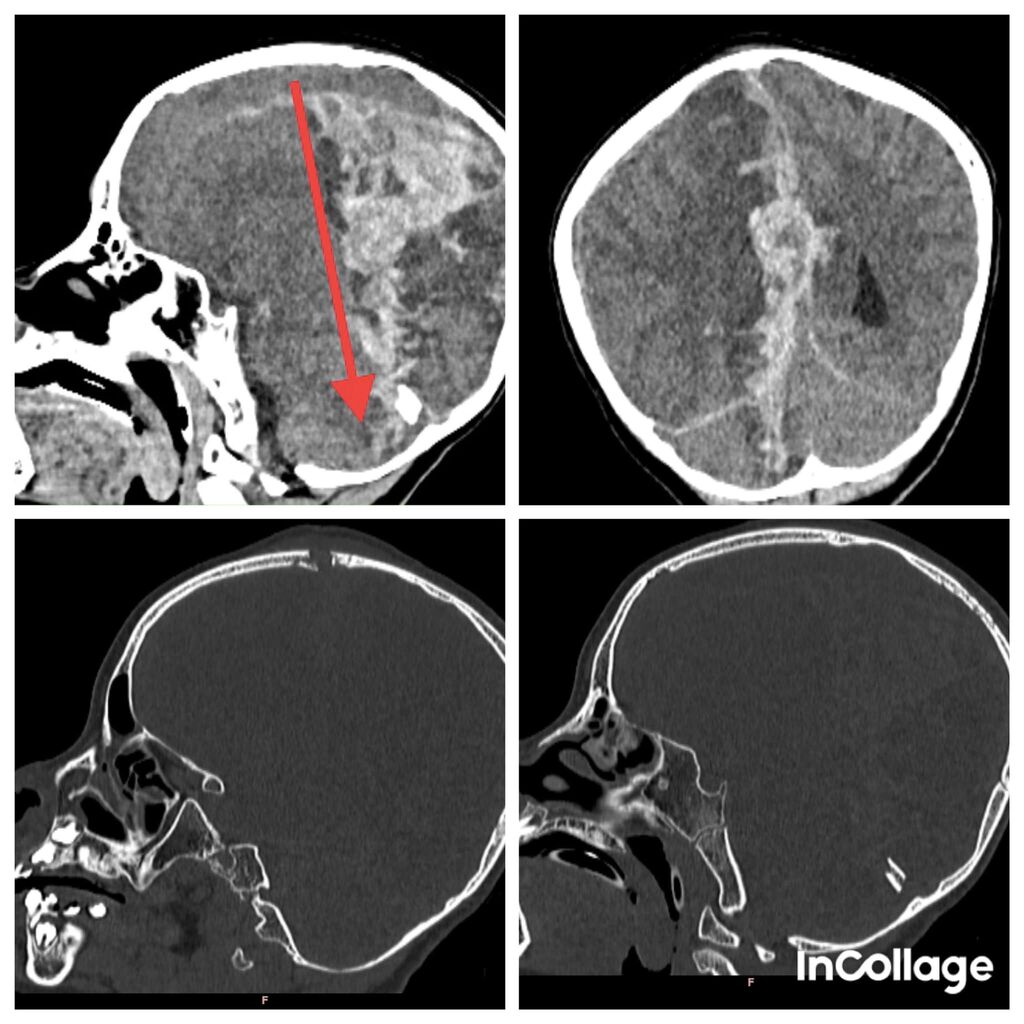
![]() |
| Les films de scanners de tête de B.T.Y.N |
D’après le docteur Nguyên Ngoc Pi Doanh du Département de neurochirurgie, après dix jours d'intervention chirurgicale et de traitement intensif, cette patiente est actuellement en voie de guérison, elle peut ouvrir les yeux et peux bouger ses membres.
La victime, B.T.Y.N., âgée de 6 ans et vivant dans la province de Binh Phuoc, a été transférée à un hôpital de proximité dans un état de coma profond, avec une blessure suturée devant le sommet de la tête.
Les résultats du scanner ont montré une blessure importante au cerveau, provoquant d'importantes hémorragies sous-durales et intracérébrales, une compression et un œdème cérébral. L’enfant a été transféré ensuite à l'hôpital pédiatrique numéro 2 de Hô Chi Minh-Ville, et l'équipe médicale a immédiatement procédé à une intervention chirurgicale d'urgence pour retirer l'hématome et ouvrir le crâne pour le décompresser.
"Même s'il y a des signes de guérison, il y aura certainement des séquelles neurologiques car le cerveau a été gravement endommagé, le bébé ne peut pas encore parler et est encore faible dans la moitié gauche de son corps", a ajouté M. Doanh.
M. B.M.V., le père de la victime, a expliqué que la petite N. se tenait devant la maison en train de regarder ses frères et sœurs jouer au badminton. Soudain, le corps de la raquette a quitté le manche, s'est envolé et est tombé sur la tête de sa fille.
Il s’agit d’un accident rare mais extrêmement grave. L'hôpital conseille aux parents de se méfier des objets avec lesquels jouent les enfants, les adultes doivent vérifier les équipements avant de laisser les enfants les utiliser afin d'éviter des incidents similaires.
Texte et photos : Quang Châu/CVN



