>>VinFast choisit l’américaine Cerence pour fournir des solutions d'IA pour ses voitures électriques
>>Utilisation de l’IA pour identifier les personnes sans masques
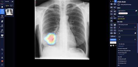
![]() |
| DrAid aide les médecins à surveiller les lésions pulmonaires chez un patient F0 sur une radiographie pulmonaire. |
Il s'agit d'un nouvel outil pour soutenir le dépistage et le pronostic des traitements du COVID-19, contribuant à une prévention et à un contrôle efficace de la maladie.
Après plus d'un an de recherche, VinBrain a officiellement achevé le produit DrAid avec la capacité de résoudre, de manière générale, le problème de COVID-19, de l'aide au diagnostic au pronostic de traitement basé sur des images, notamment.
À ce jour, le modèle de DrAid dispose de la plus grande source de données au monde sur le COVID-19, dont 21.421 images radiographiques thoraciques de patients positifs au SARS-CoV-2 et 118.018 images radiographiques thoraciques standards.
Truong Quôc Hung - directeur général de VinBrain a déclaré que DrAid converge de nombreux avantages exceptionnels.
Dans les zones d'isolement concentré ou à haut risque, DrAid aide à trier les patients avant les tests PCR : les personnes F1 suspectées sont immédiatement localisées et des tests PCR à échantillon unique sont effectués.
Au Vietnam, la radiographie reste la méthode d'imagerie diagnostique la plus accessible et la plus utilisée dans les soins de santé à tous les niveaux et dans toutes les régions.
![]() |
| DrAid est utilisé dans le traitement de patients du COVID-19 à Hà Tinh (Centre). |
Dans les hôpitaux acceptant le traitement COVID-19, DrAid soutient les médecins à évaluer le degré de lésions pulmonaires de COVID-19 au quotidien, donnant ainsi des indications de traitement opportunes, appropriées et efficaces pour le patient. Ce modèle d'IA a été créé sur un grand ensemble de données de radiographies thoraciques.
Par conséquent, l'application de DrAid au dépistage, au diagnostic et au traitement des patients infects au COVID-19 dans les établissements médicaux est très pratique et facile à reproduire à l'échelle nationale.
Grâce au DrAid, les ressources humaines et le budget de la santé dans la prévention et le contrôle du COVID-19 seront optimisés.
Entrer dans la ''nouvelle normalité''
DrAid est actuellement utilisé pour aider les médecins à prédire le traitement des patients COVID-19 dans un certain nombre d'hôpitaux de campagne à Hô Chi Minh-Ville et dans la province de Hà Tinh.
La qualité des diagnostics et pronostics de DrAid a été prouvée et utilisée en pratique sur des scanners mobiles avec des doses de rayons X de seulement ¼ des appareils à rayons X précédents.
Selon les médecins du Centre médical de Ky Anh à Hà Tinh, DrAid a aidé les médecins à surveiller les lésions quotidiennement, en identifiant clairement l'étendue des lésions, y compris les plus petites faciles à manquer.
Après avoir appliqué DrAid lors de l'épidémie de COVID-19 dans la province de Bac Giang en mai et en juin, un dirigeant du district de Viêt Yên a également évalué que l'intelligence artificielle prenait en charge le dépistage et la détection précoce des F1 à haut risque de devenir F0 et des maladies pulmonaires sous-jacentes. Ce modèle permet aux autorités de prendre des décisions en temps opportun, assurant une prévention efficace des maladies.
Texte et photo : Quang Huy - Diêu An/CVN


