>>La vaccination de masse contre la variole du singe non recommandée
>>Le Vietnam n’a enregistré aucun cas de variole du singe
>>Variole du singe : l'OMS lance son alerte la plus élevée
Le Service de la santé de Hô Chi Minh-Ville a ordonné au Centre de prévention et de contrôle des maladies de renforcer la surveillance épidémiologique des voyageurs aux points d’entrée (aéroports et ports maritimes) ; aux centres de santé, dispensaires et cabinets de consultation de renforcer l’information sur la maladie ; aux hôpitaux d’organiser le dépistage des cas suspects.
![]() |
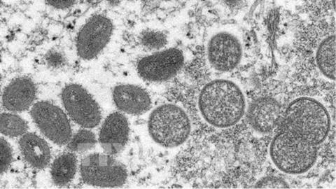
| La variole du singe est causée par l’orthopoxvirus simien, qui appartient au genre Orthopoxvirus de la famille des Poxviridés. |
| Photo : AP/VNA/CVN |
Les échantillons cliniques prélevés sur prescription médicale seront envoyés à l’Hôpital des maladies tropicales et l’Institut Pasteur de Hô Chi Minh-Ville pour analyse. Dans l’attente des résultats de test, les patients doivent être s’isoler à leur domicile ou dans la zone de quarantaine des hôpitaux où ils sont admis.
La variole du singe est causée par l’orthopoxvirus simien, qui appartient au genre Orthopoxvirus de la famille des Poxviridés. Elle se manifeste généralement par de la fièvre, des éruptions cutanées et un gonflement des ganglions lymphatiques et peut entraîner toute une série de complications médicales.
Le Vietnam n’a recensé jusqu’à présent aucun cas de variole du singe mais n’est pas épargné des risques d’infiltration de la maladie dont la flambée actuelle a incité l’Organisation mondiale de la santé (OMS) à déclencher samedi 23 juillet une "Urgence de santé publique de portée internationale" (USPPI).

